Wstęp
W dzisiejszych czasach chiński przemysł trzody chlewnej przechodzi gwałtowną modernizację. Ponieważ polityka ochrony środowiska staje się coraz bardziej restrykcyjna, a konkurencja jest silna, wiele małych gospodarstw rolnych znika, a duże firmy rozwijają się i budują wiele nowoczesnych gospodarstw. Jednak farmy startupowe borykają się z poważnymi problemami związanymi z chorobami, takimi jak PRRS, PRV (choroba Aujeszky'ego), PED, CSF, APP itd. W Chinach patogeny te nadal nie są zwalczone.
W przeciwieństwie do starych farm nowoczesne gospodarstwa startupowe mogą mieć mniejszą podatność na infekcje dróg oddechowych w zimie, ponieważ zwykle mają dobrą wentylację. Jednak opisywany tu przypadek kliniczny to epidemia App w gospodarstwie startupowym ze zmodernizowanym systemem wentylacji.
Opis ferm
Ta ferma licząca 1200 loch była zlokalizowana na obszarach wiejskich w górzystym rejonie, o niskim zagęszczeniu świń i ściśle przestrzeganych procedurach bezpieczeństwa biologicznego w celu uniknięcia infekcji PED, PRRS, PRV, CSF, App, Mycoplasma hyopneumoniae itp. Gospodarstwo zaczęło pełną pracę od września 2017 r., ale jeszcze nie dokończono systemu kanalizacyjnego fermy.
Pojawienie się problemu
Kierownik farmy skontaktował się z weterynarzem, ponieważ wystąpiły pewne problemy kliniczne u loch ciężarnych, które opisał jako krótki kaszel z trudnościami w oddychaniu i nagły wzrost śmiertelności. W sumie 17 macior padło w dniach 8-10 grudnia. Chore lochy miały otwarte pyski, z trudnością oddychając przed śmiercią (film 1). Jedna ciężarna locha miała krwotok z nosa i oddychała brzusznie (film 2). Prawie wszystkie martwe zwierzęta miały krwotok i ropną wydzielinę z nosa (Ryc. 1). 9 martwych loch należało do grupy 35 i 36 tygodnia, które były trzymane w środku budynku (Ryc. 2). Około 25% loch prośnych było chorych, nie przyjmowały pokarmu, miały gorączkę do 40,5 ° C i oddychały brzusznie.
Film 1: Ciężarne lochy miały problem z oddychaniem, oddychały brzusznie, z otwartym pyskiem.
Film 2: Ciężarna loszka z krwotokiem z nosa, oddychająca brzusznie.

Wyniki badania sekcyjnego
Sekcji poddano pięć martwych loch. Wyniki sekcji zwłok wszystkich z nich były podobne; sekcyjnie widoczne były ciemne, skonsolidowane, rozgraniczone zmiany w środkowych, dogłowowych i doogonowych płatach płuc. U dwóch loch obraz zmian sekcyjnych wskazywał na włóknikowe zapalenie opłucnej i zapalenie osierdzia (Ryc. 3). U wszystkich loch stwierdzono punkcikowate wybroczyny na sercu (ryc. 4). Przy wejściu do jamy ustnej i nozdrzy zaobserwowano podbarwioną krwią pianę.

Analiza czynników ryzyka
Przed zdecydowaniem się na podjęcie działań określono czynniki ryzyka predysponujące do chorób układu oddechowego.
Zwierzęta: Nie zaobserwowano związku z rasą loch.
Środowisko: Żadna z loch z kojców porodowych nie miała objawów klinicznych, a wszystkie chore zwierzęta były trzymane w budynku z sektorem loch ciężarnych, co wskazywało na silny związek z zarządzaniem budynkami. Jakość powietrza w obiektach porodowych była znacznie lepsza niż w przypadku sektora ciąży. W obiekcie z sektorem loch ciężarnych nie było systemu ogrzewania, co doprowadziło do zmniejszenia częstości wentylacji w zimie.
Lokalizacja: Chore zwierzęta znajdowały się w środkowej części budynku, gdzie poziom gnojowicy był bardzo wysoki, już blisko rusztu, a poziom amoniaku był wystarczająco wysoki, aby drażnić oczy, podczas gdy w innych kojcach sytuacja była lepsza.
Pasza: Pasza loch ciężarnych została zamieniona z granulatu na śrutę. Informacje od pracowników obsługujących wskazywały na to że ta zmiana spowodowała wzrost poziomu zapylenia w chlewni.
Woda: Źródło wody w sektorze ciążowym było takie samo jak w drugim budynku, a rury były rutynowo czyszczone.
Diagnoza
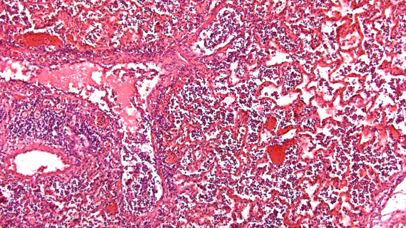
Według objawów klinicznych takich jak wysoka gorączka, oddychanie brzuszne, utrata apetytu, obecności u wszystkich martwych loch krwi / ropnej wydzieliny z nosa i wyników sekcji zwłok wykazujących na włóknikowe zapalenie opłucnej i zapalenie osierdzia, wstępną diagnozą było App. Zastosowano odpowiedni schemat leczenia. Histopatologia płuc wykazała obecność pęcherzyków wypełnionych płynem i agregację komórek zapalnych, typową dla bakteryjnego zapalenia płuc (ryc. 5). Bakteriologia tkanki płucnej potwierdziła obecność App.

Podjęte działania
Wdrożenie antybiotykoterapii: pierwsze instrukcje postępowania dla personelu gospodarstwa to iniekcyjne podanie ceftiofuru wszystkim lochom. Upadki loch nie ustały, weterynarz przeprowadził wizytę na farmie. Podczas wizyty stwierdzono, że 25% loch było chorych. Wszystkie zwierzęta w sektorze ciąży, otrzymały natychmiast ceftiofur, a następnie przez dwa dni podawano penicylinę. Amoksycylina była podawana w wodzie do picia przez 7 dni.
Wentylacja: W celu poprawy wentylacji temperatura w pomieszczeniu była stopniowo obniżana z 15ºC do 10ºC.
Konstrukcja: Mimo presji finansowej ukończono budowę systemu kanalizacji i gnojowica została usunięta spod rusztów.
Szczepienie: Zaproponowano masowe zastosowanie szczepionki przeciwko App w celu uzyskania długoterminowej kontroli nad chorobą. Pierwszą szczepionkę podano 17 grudnia i powtórzono ją 3 tygodnie później.
Po iniekcji ceftiofuru wszystkim lochom podczas wizyty lekarza nie odnotowano dalszych upadków loch.
Dyskusja
Kierownik farmy skontaktował się z lekarzem weterynarii w związku z nagłą śmiercią 6 loch w dniu 8 grudnia. W oparciu o objawy kliniczne wskazujące na zakażenie App, jeszcze przed wizytą lekarza, wdrożono plan działania stosowany w przypadkach wystąpienia tej choroby. Plan działania w nagłych wypadkach polegał na użyciu ceftiofuru w celu leczenia wszystkich chorych zwierząt i dodaniu do wody pitnej amoksycyliny. Jednakże śmiertelność loch nadal była wysoka. W związku z tym weterynarz odwiedził gospodarstwo. Podczas wizyty zaobserwował, że tylko około 10 macior otrzymało ceftiofur zgodnie z zaleceniami, podczas gdy chorych było około 250 loch prośnych, co stanowiło 25% wszystkich loch prośnych w trakcie wizyty.
Powodem, dla którego tak wiele chorych loch nie było leczonych, było nie tylko to, że pracownicy byli nowi i mieli jeszcze niewielkie doświadczenie, ale także dlatego, że byli oni zaniepokojeni kosztem iniekcji ceftiofuru, który wynosi około 40 RMB / sztukę (około 6 $ / sztuka).
W miarę rozwoju chińskiego przemysłu trzody chlewnej i budowaniu kolejnych nowych gospodarstw istnieje duże zapotrzebowanie na szkolenia dla wszystkich nowych pracowników w Chinach. Poza tym tradycyjna opinia o zarządzaniu zdrowiem w chińskiej hodowli świń polega na rutynowym podawaniu świniom małych dawek antybiotyków w celu zapobieżenia wyzwaniom, przed którymi stoi gospodarstwo i potencjalnym zagrożeniom ze strony czynników zakaźnych. Jednak odporność na antybiotyki i wyniki produkcji są coraz gorsze, a koszty leczenia stają się coraz wyższe.
Stałym problemem, którym należy się pilne zająć, jest to jak mądrze i właściwie stosować antybiotyki w chowie trzody chlewnej w Chinach.
Wnioski
App nie jest ani nową chorobą w Chinach, ani najbardziej patogenn w porównaniu z PRRS, PRV, PED, CSF itp. Jednak poważny problem i straty produkcyjne, które widzieliśmy w tym przypadku i których można było uniknąć, dowodzą, że u podstawy problemu leży szkolenie nowych pracowników i potrzeba ustalenia prawidłowych koncepcji stosowania leków w Chinach.