Introduzione
La produzione di suini in Cina sta attraversando un importante processo di modernizzazione. Nella misura in cui i controlli ambientali diventano sempre più rigidi e c'è maggiore competizione, molti piccoli allevamenti scompaiono nello stesso momento in cui le grandi aziende si espandono e costruiscono allevamenti moderni. Tuttavia, questi nuovi allevamenti devono affrontare gravi problemi sanitari come la PRRS, la malattia di Aujeszky (AD), la diarrea epidemica dei suini (PED), la peste suina classica (PSC), l'Actinobacilus pleuroneumoniae (App), ecc. Questi agenti patogeni non sono ancora stati sradicati in Cina.
A differenza dei vecchi allevamenti, quelli nuovi possono avere una bassa pressione di infezione respiratoria in inverno perché hanno buoni sistemi di ventilazione. Nonostante ciò, il caso che descriviamo qui è un problema di App in un nuovo allevamento con un design moderno di ventilazione.
Descrizione dell'allevamento
Si tratta di un nuovo allevamento a ciclo chiuso con 1200 scrofe, situato in una zona montuosa a bassa densità di suini e con rigide misure di biosicurezza per mantenerlo indenne da PRRS, PED, Aujeszky, PSC, App, polmonite enzootica, ecc... L'allevamento era in piena produzione da settembre 2017, tuttavia il sistema di gestione dei liquami non era completamente finito.
Inizio del caso
Il capo dell'allevamento contattò il veterinario perché c'erano problemi in gestazione che erano descritti come tosse secca con difficoltà respiratoria ed un improvviso aumento della mortalità. Un totale di 17 scrofe gravide sono morte dall'8 al 10 dicembre. Le scrofe colpite avevano la bocca aperta per respirare prima di morire (video 1). Una scrofetta gravida aveva presentato emorragia al naso e la respirazione addominale (video 2). Quasi tutti gli animali morti avevano emorragie e secrezioni nasali purulente (figura 1). Nove delle scrofe morte appartenevano alle bande della settimana 35 e 36 che erano alloggiate nella parte centrale del capannone (figura 2). Circa il 25% delle scrofe gravide erano ammalate, non mangiavano, avevano febbre fino a 40,5 ° C e respirazione addominale.
Video 1: Scrofa gestante con difficoltà respiratoria, con respirazione addominale bocca aperta per facilitare la respirazione.
Video 2: Scrofetta gravida con emorragia nasale e respirazione addominale.

Risultati delle necroscopie
È stata eseguita l'autopsia di 5 delle scrofe morte in stato di gravidanza. I risultati sono stati simili in tutti i casi: lesioni ben consolidate, scure e ben delimitate nei lobi medi, craniali e caudali del polmone. Due delle scrofe hanno presentato pleurite fibrinosa e pericardite (Figura 3). In tutti abbiamo trovato emorragie petecchiali nel cuore (figura 4). C'erano tracce di schiuma sanguinolenta nella bocca e nel naso.

Indagini sui fattori di rischio
Prima di decidere quali misure avremmo realizzato, abbiamo analizzato i fattori di rischio delle malattie respiratorie,
Animali: Non vi erano correlazioni con il tipo genetico delle scrofe.
Ambiente: Le scrofe in sala parto non mostravano segni clinici, tutti i soggetti colpiti erano alloggiati nel capannone di gestazione, quindi sembrava esserci una chiara correlazione con le strutture. La qualità dell'aria nelle sale parto era molto meglio che in gestazione, dove non c'era riscaldamento che generava un livello inferiore di ventilazione in inverno.
Localizzazione: Gli animali ammalati erano concentrati nella parte centrale del capannone di gestazione dove il livello dei liquami era molto alto, vicino ai grigliati, ed il livello di ammoniaca era abbastanza alto da irritare gli occhi, mentre il livello dei liquami nelle altre zone non era così alto.
Mangime: Il mangime di gestazione era stato cambiato da pellettato a farina. I lavoratori hanno detto che questo cambiamento aveva aumentato il livello di polveri nel capannone.
Acqua: L'origine dell'acqua in gestazione era la stessa delle sale parto e le tubazioni venivano pulite di routine.
Diagnosi
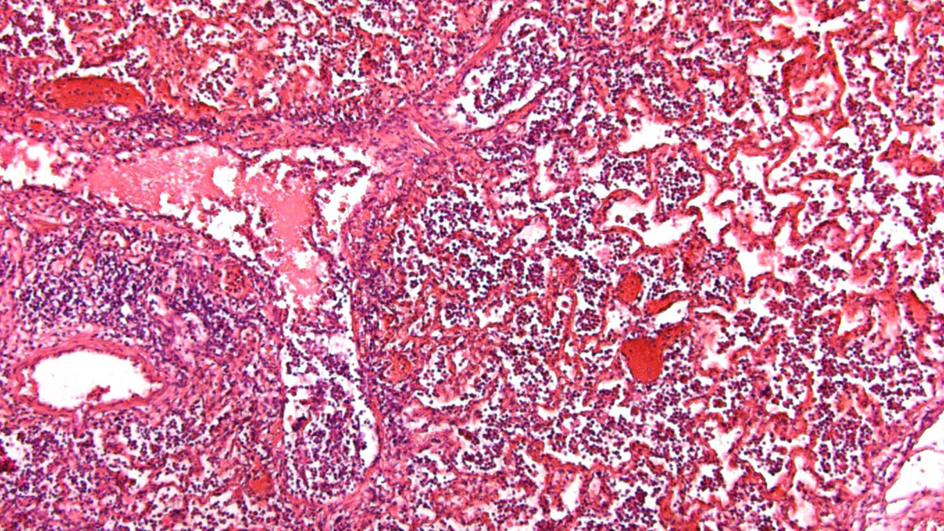
Secondo i segni clinici di febbre alta, respirazione addominale, perdita di appetito, presenza di scoli nasali con pus / sangue in tutte le scrofe morte e reperti necroscopici con pleurite e pericardite fibrinosa, la diagnosi preliminare era App ed il il trattamento è stato pianificato di conseguenza. L'istopatologia del polmone mostrava alveoli con accumulo di liquidi e cellule infiammatorie, dimostrando che si trattava di polmonite batterica (figura 5). I risultati batteriologici della coltura polmonare hanno confermato la presenza di App.

Interventi
Trattamento antibiotico: Inizialmente, i lavoratori dell'allevamento sono stati istruiti a iniettare ceftiofur in tutte le scrofe ammalate. Poiché le morti non diminuirono, il veterinario visitò l'allevamento. Durante la visita e dopo aver valutato che il 25% delle scrofe erano ammalate, tutti le scrofe del capannone di gestazione sono stati immediatamente trattate con ceftiofur e penicillina nei due giorni successivi. Per 7 giorni, l'amoxicillina è stata somministrata tramite acqua.
Ventilazione: La temperatura del capannone venne ridotta da 15ºC a 10ºC gradualmente per migliorare la ventilazione.
Costruzione: Il sistema di gestione dei liquami fu terminato sebbene con una pressione finanziaria e le fosse sotto i grigliati furono vuotate dai liquami.
Vaccinazione: È stata suggerita l'applicazione di un vaccino contro App a tappeto per il controllo a lungo termine. La prima dose è stata somministrata il 17 dicembre e la seconda dose di richiamo è stata fatta 3 settimane più tardi.
Dopo l'iniezione di massa con ceftiofur durante la visita del veterinario, non ci sono state nuove morti di scrofe fino ad oggi.
Discussione
Il responsabile d'allevamento ha contattato il veterinario circa la morte improvvisa di 6 scrofe l'8 dicembre e il piano di emergenza è stato fatto prima di visitare l'allevamento, sulla base dei segni clinici che erano altamente compatibili con un'infezione da App. Il piano di emergenza consisteva nell'uso di ceftiofur per trattare tutti gli animali colpiti e medicare l'acqua con amoxicillina. Nonostante questo, la mortalità delle scrofe è rimasta fuori controllo, quindi il veterinario ha visitato l'allevamento. Ed è stato durante la visita che ci si è reso conto che solo circa 10 scrofe erano state trattate con ceftiofur nonostante il fatto che ci fossero circa 250 scrofe gravide ammalate, il 25% del numero totale di scrofe gravide.
Il motivo per cui molte delle scrofe ammalate non erano state curate, non era dovuto solo alla scarsa esperienza del personale nell'osservazione degli animali, ma anche perché i dipendenti erano preoccupati per il costo del ceftiofur, circa 40 RMB per capo ( 6 USD circa).
Man mano che il settore suinicolo cinese cresce e vengono costruiti nuovi allevamenti, vi è un grande bisogno di formazione dei lavoratori. Inoltre, la visione tradizionale della gestione sanitaria delle aziende agricole in Cina consiste nel somministrare regolarmente basse dosi di antibiotici e cercare di prevenire rischi e potenziali infezioni. Tuttavia, la resistenza agli antibiotici e i risultati produttivi stanno peggiorando e i costi dei medicinali aumentano...
Come usare gli antibiotici in modo prudente e appropriato nella produzione di suini in Cina è ancora un problema che deve essere affrontato.
Conclusioni
L'App non è una nuova malattia in Cina, né è la più patogena rispetto a PRRS, AD, PED, PSC, ecc... Anche così, il grave problema delle perdite di produzione che abbiamo visto in questo caso, e che avrebbero potuto essere evitate, dimostra il problema fondamentale della formazione dei nuovi dipendenti e la necessità di stabilire basi valide per l'uso dei farmaci in Cina.