Esistono 3 gruppi principali di Rotavirus che causano la diarrea nei suini: Rotavirus A, Rotavirus B e Rotavirus C. Ogni gruppo di virus è diverso dagli altri e richiede test specifici progettati per loro. La diarrea nei suini spesso comporta infezioni con più gruppi di rotavirus contemporaneamente.
Test disponibili:
Patologia macroscopica
- Valuta la presenza di assottigliamento della parete dell'intestino tenue che può suggerire la presenza di malattia.
- Localizzazione delle lesioni: digiuno e ileo.
- Pro:
- Risultati rapidi ed economici
- Applicabile a tutti e tre i gruppi di rotavirus
- Contro:
- Non diagnostici: lesioni simili possono essere riscontrate con altre malattie, in particolare infezioni da coronavirus (gastroenterite trasmissibile, diarrea epidemica suina e delta coronavirus suino)
- Richiede tessuti freschi (<15 minuti) poiché la decomposizione modifica drasticamente l'aspetto dell'intestino tenue
- Non distingue tra diversi gruppi di rotavirus
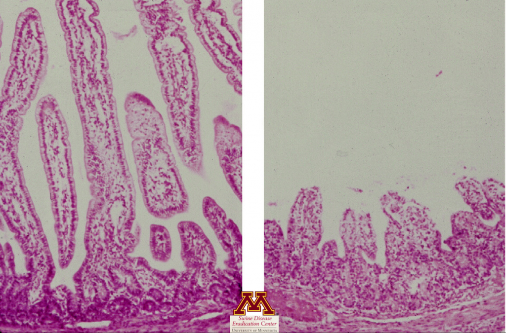
Istopatologia
- Valuta la presenza di lesioni tissutali (atrofia dei villi dell'intestino tenue) che possono fortemente suggerire la presenza di malattia.
- Tipi di campioni: tessuto del digiuno e dell'ileo.
- Pro:
- Conferma l'atrofia dei villi che suggerisce un'enterite virale
- Contro:
- È necessario fissare i tessuti intestinali con formalina in meno di 15 minuti dalla morte dell'animale. Il tessuto intestinale si decompone rapidamente.
Immunoistochimica (IHC)
- Rileva la presenza dell'antigene virale.
- Tipi di campioni: tessuto del digiuno e dell'ileo.
- Pro:
- Diagnosi definitiva: può confermare la presenza del virus con lesioni associate.
- Contro:
- Attualmente disponibile solo per Rotavirus A e Rotavirus C (non disponibile per Rotavirus B)
Polymerase chain reaction (PCR)
- Rileva la presenza di una sequenza specifica di acido nucleico virale (RNA).
- Tipi di campioni: tessuti intestinali del digiuno e dell'ileo, tamponi fecali, feci.
- Pro:
- La PCR multiplex è in grado di rilevare diversi gruppi di rotavirus, tra cui Rotavirus A, Rotavirus B e Rotavirus C
- Alta sensibilità.
- Quantificazione tramite PCR
- Costo moderato
- I campioni di feci o tessuti possono spesso essere raggruppati per ridurre i costi e minimizzare la perdita di sensibilità (soprattutto per quanto riguarda la rilevanza clinica).
- Contro:
- Alta sensibilità – può confermare la presenza del virus ma non della malattia (alta prevalenza del virus nell’ambiente)
Isolamento del virus
- Isola il virus vivo.
- Tipi di campioni: tessuti intestinali del digiuno e dell'ileo, tamponi fecali, feci.
- Pro:
- Isolamento del virus da utilizzare nello sviluppo di vaccini (vaccini stabulogeni)
- Contro:
- Caro
- Risultati lenti
- Attualmente disponibile solo per il Rotavirus A e non per il Rotavirus B o il Rotavirus C
- Spesso difficile da coltivare (molti falsi negativi)
- La manipolazione dei campioni dal campo al laboratorio può influenzare la sopravvivenza del virus
Enzyme-linked immunosorbent assay (ELISA)
- Rileva la presenza di anticorpi.
- Tipi di campioni: siero.
- Pro:
- Gli animali rimangono positivi per diverse settimane
- Può identificare allevamenti negativi.
- Contro:
- L'elevata prevalenza del virus nell'ambiente determina un'esposizione comune in molti/la maggior parte dei suini
- Richiede un test specifico per ciascun gruppo di rotavirus
- Non esiste protezione crociata tra i diversi gruppi di rotavirus.
Tabella 1. Riepilogo dei test applicabili rispetto ai diversi gruppi di rotavirus.
| |
Rotavirus A |
Rotavirus B |
Rotavirus C |
Ti permette di distinguere tra i gruppi? |
| Patologia macroscopica |
Sì |
Sí |
Sí |
No |
| Istopatologia |
Sí |
Sí |
Sí |
No |
| Immunoistochimica (IHC) |
Sí |
No |
Sí |
Sí |
| Reazione a catena della polimerasi (PCR) |
Sí |
Sí |
Sí |
Sí |
| Isolamento del virus |
Sí |
No |
No |
No |
| Saggio di immunoassorbimento enzimatico (ELISA) |
Sí |
No |
No |
No |
Interpretazione dei risultati:
Patologia macroscopica
- Positivo: Conferma preliminare della presenza di assottigliamento intestinale.
- Negativo: i casi precoci o lievi potrebbero non manifestare lesioni intestinali estese.
Istopatologia
- Positivo: conferma della malattia, ma non della causa della malattia.
- Negativo: il risultato negativo o le lesioni non vengono rilevate se viene testato il campione non corretto o se viene eseguito troppo tempo dopo l'infezione.
IHC
- Positivo: il virus è presente nel sito della lesione.
- Negativo: negativo oppure il virus non viene rilevato se il test viene eseguito molto tempo dopo l'infezione o se la concentrazione del virus è troppo bassa (presente solo per un breve periodo di tempo).
PCR
- Positivo: Conferma della presenza dei diversi gruppi di rotavirus (A, B e C).
- Negativo: negativo, il virus non viene rilevato se il test viene eseguito molto tempo dopo l'infezione o a causa di una selezione o manipolazione errata del campione.
Isolamento del virus
- Positivo: conferma della presenza del virus ma non della malattia.
- Negativo: negativo, il virus non viene rilevato se il test viene eseguito molto tempo dopo l'infezione o semplicemente non può crescere a causa di altra contaminazione o cattiva manipolazione (presente ma molto difficile da coltivare). Non rileva Rotavirus B o Rotavirus C.
ELISA
- Positivo: precedente esposizione (> 2-4 settimane) al vaccino o al virus di campo. Nessuna associazione tra positività e malattia.
Negativo:
- Negativo al vaccino o al virus di campo
- Infezione troppo recente per essere rilevata
Scenari:
Suinetti neonati con diarrea (acuta o cronica)
- Raccogliere campioni fecali da 10 o più suini non trattati, con diarrea ed inviarli per il test PCR per Rotavirus A, Rotavirus B e Rotavirus C in pool di 5.
- Necroscopia di 1-3 suini recentemente morti o suini sottoposti a eutanasia con diarrea. Valutare macroscopicamente il digiuno e l'ileo per l'assottigliamento della parete intestinale. Raccogliere campioni e fissarli in formalina per istopatologia e IHC.
Suinetti appena svezzati con diarrea (acuta o cronica)
- Raccogliere campioni fecali da 10 o più suini non trattati con diarrea e inviarli per il test PCR per Rotavirus A, Rotavirus B e Rotavirus C in pool di 5.
- Necroscopia di 1-3 suini recentemente morti o suini sottoposti a eutanasia con diarrea. Valutare macroscopicamente il digiuno e l'ileo per l'assottigliamento della parete intestinale. Raccogliere campioni e fissarli in formalina per istopatologia e IHC.