La peste suina africana (PSA) è una grave malattia virale che colpisce i suini di tutte le età. Negli ultimi anni ha devastato i settori suinicoli in molti paesi. In realtà, la PSA si diffonde abbastanza lentamente ed è possibile ridurne la diffusione geografica attraverso azioni appropriate. Una diagnosi definitiva e precoce è un elemento chiave per prevenirne la diffusione. Una diagnosi iniziale sul campo di PSA può essere fatta dai segni clinici e dai risultati dell'autopsia.
Segni clinici:
Nella fase iniziale della malattia, gli animali vengono spesso trovati morti in forma iperacuta, con cianosi degli arti, delle orecchie e delle estremità. C'è spesso febbre alta (40 - 42°C); vomito; diarrea, che può essere sanguinolenta o nera (foto 1, a destra); depressione; aborti (foto 1, a sinistra); secrezione nasale sanguinolenta (epistassi) ed aumento della mortalità.

I ceppi meno virulenti (o vaccinali) causano una forma atipica e cronica della malattia, con pochi decessi. Le femmine mostrano spesso malattie respiratorie croniche e infertilità cronica. Il processo più lungo per mostrare l'evidenza della malattia, o la mancanza di segni clinici osservati nei suini con virus vaccinale cronico, è spesso interpretato in allevamento come un lungo periodo di incubazione.
Lesioni durante la necroscopia

La gravità delle lesioni tra animali è variabile e si suggerisce generalmente di sottoporre a necroscopia più suini.
La necroscopia dovrebbe essere eseguita con una preoccupazione professionale per la biosicurezza, sebbene non presenti rischi specifici in un allevamento già infetto e fornisca informazioni preziose che non possono essere ottenute con approcci diagnostici meno aggressivi.
Tecniche di laboratorio
PCR: La diagnosi di PSA è solitamente verificata da un test dell'acido nucleico positivo ed escludendo altre cause comuni di lesioni simili. Il più comune è la PCR per il gene P72. Il polmone (campione preferito nel nostro laboratorio), reni, milza, linfonodi, siero e sangue sono tutti ottimi campioni per la PCR. I tamponi e i fluidi orali sono estremamente popolari, ma la quantità di virus è di diversi log inferiore a quella che si trova solitamente nel sangue e nei tessuti, quindi i falsi negativi sono abbastanza comuni. Vengono utilizzati qPCR a fluorescenza e PCR convenzionale. La PCR convenzionale offre un percorso conveniente per il sequenziamento genetico.
Quando si usa deliberatamente un vaccino geneticamente deleto o il ceppo del virus della PSA è stato introdotto accidentalmente, i test dell'acido nucleico possono fallire in alcuni animali perché la quantità di virus prodotta è molto inferiore rispetto al virus di campo. Tuttavia, quando sono disponibili campioni di tessuto o sangue appropriati, è possibile eseguire l'analisi dell'acido nucleico per rilevare i geni eliminati dal virus del vaccino. Se si ottiene un risultato positivo per il gene P72, è possibile eseguire la PCR per il vaccino con il gene eliminato per la presenza di DNA del MGF 360-505 R e CD2v per determinare se il virus problematico è di campo o CD2v del vaccino con il gene deleto.
Amplificazione isotermica mediata da loop (LAMP Loop-mediated isothermal amplification): offre un'alternativa all'acido nucleico veloce, economica, flessibile ed estremamente sensibile che richiede attrezzature poco specializzate e sembra adatta per l'analisi di massa come il monitoraggio/rilevamento dei macelli.
Sierologia: può essere utilizzato per determinare se gli animali sono stati esposti al virus della PSA quando il tempo dall'infezione al test è stato sufficientemente lungo da far trascorrere il periodo di viremia e presenza di virus nei tessuti, o se non disponiamo di buoni campioni necroscopici.
Ci sono vari kits ELISA disponibili per cercare la presenza di anticorpi contro P72, P30 e altri antigeni della PSA. Questi test sono spesso utilizzati per identificare e generalmente eliminare gruppi di scrofe che sono state vaccinate deliberatamente o esposte accidentalmente a virus vaccinali illegali.
È disponibile un test ELISA per la cattura rapida dell'antigene, ma ha una sensibilità molto bassa, quindi il suo uso è generalmente limitato ai casi in cui si desidera un rapido falso negativo.
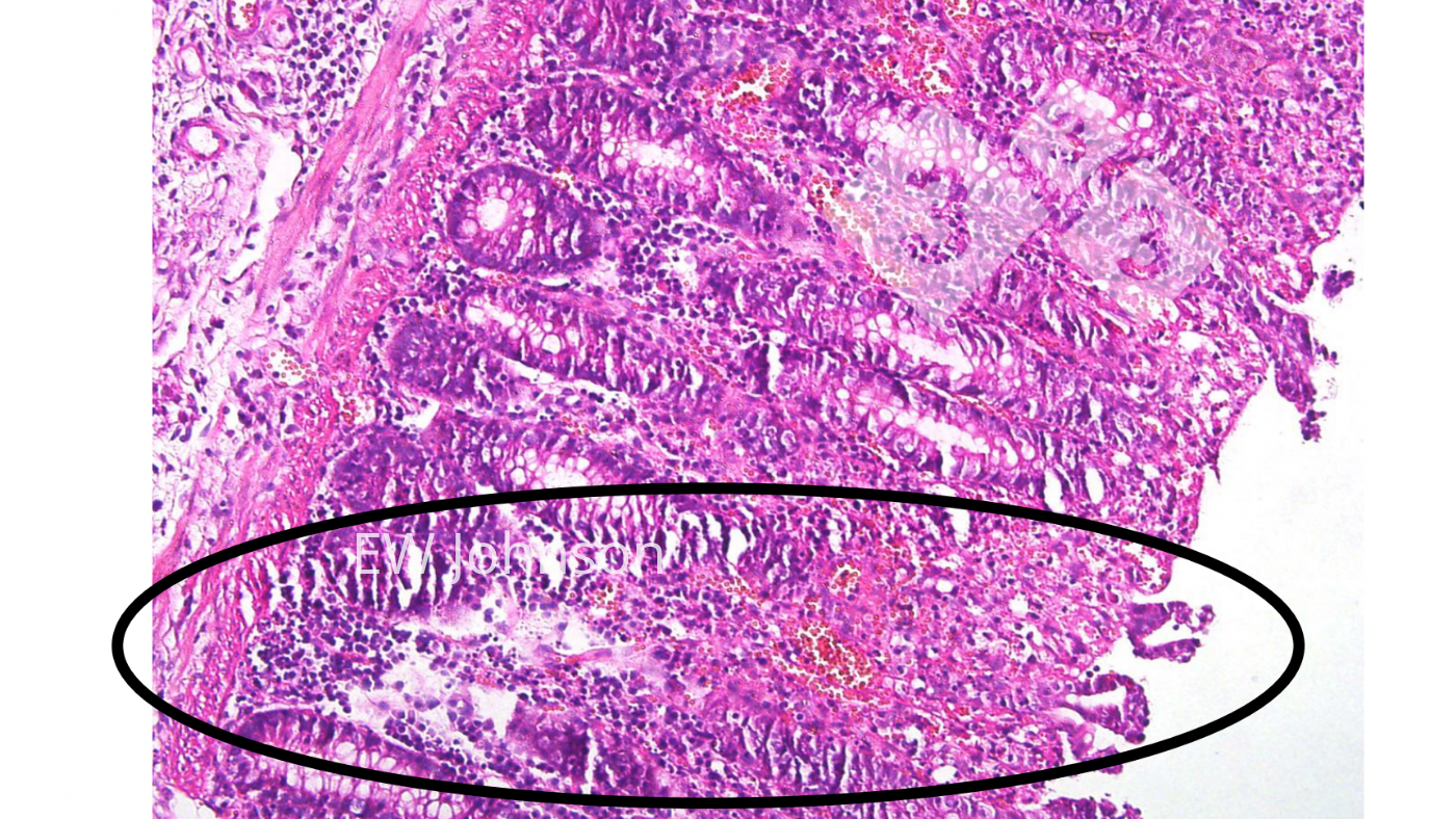
All'esame istopatologico si osserva una vasculite generalizzata con infarto, emorragia e trombosi in più organi, in particolare polmone, milza, linfonodi, reni, cervello e intestino. Vi è una massiccia distruzione linfoide nei linfonodi e nella milza e vacuolizzazione dei macrofagi alveolari. Sono frequenti necrosi e ulcerazioni dell'epitelio del colon (foto 4).
L'uso della istopatologia per verificare le lesioni croniche tipiche del vaccino con geni deleti può essere molto utile. I suini che hanno ricevuto tali vaccini contro la PSA spesso hanno lesioni vascolari fibrosanti e cicatriziali attive, inclusi trombi e infarti nell'intestino, nel fegato, nei tessuti linfoidi, nel cuore e nei reni. I linfonodi possono presentare aree emorragiche, con necrosi e distruzione dei linfociti e aree con fibrosi e cicatrici. I riproduttori vaccinati possono presentare ampie aree di necrosi polmonare e fibrosi che vengono spesso scambiate per App cronica. Il virus del vaccino potrebbe non uccidere il suino, ma il suino spesso non è in grado di eliminare il virus vaccinale.
Si deve ricordare che la PCR è un ottimo strumento, ma non è infallibile e, nella situazione attuale negli allevamenti, non è accurato al 100%. Questo non vuol dire che non sia una tecnica su cui fare affidamento, anzi, ma comunque, i risultati della PCR sono i risultati di un test diagnostico, non di una diagnosi... La persona incaricata di fare la diagnosi deve indagare, deve utilizzare tutti gli strumenti a sua disposizione. Quando si sospetta la PSA, dovrebbero essere adottate misure di biosicurezza, anche più del solito. Ma ci sono diverse malattie simili alla PSA e oltre ad avere un test contro la PSA, è necessaria una diagnosi della vera causa del problema, che può richiedere più interventi e l'osservazione rispetto all'estrazione di un linfonodo inguinale o all'esternalizzazione della milza attraverso una piccola incisione...