I virus sono importanti agenti causali di malattie che colpiscono il sistema respiratorio del suino. Questi includono il virus della sindrome riproduttiva e respiratoria suina (PRRSV dall'inglese, Porcine Reproductive and Respiratory Syndrome Virus), il Circovirus Suino tipo 2 (PCV2, dall'inglese, Porcine Circovirus type 2), i virus dell'influenza suina (SIV, dall'inglese Swine Influenza Virus) ed il Coronavirus Respiratorio Suino (PRCV, dall'inglese Porcine Respiratory Coronavirus). I primi tre sono considerati agenti primari, in grado di causare danni da soli, mentre il quarto è un agente secondario, che agisce quando c'è stata una precedente infezione da un altro agente primario o l'animale è immunodepresso.
Il PRRSV è un virus RNA, appartenente all'ordine Nidovirales, famiglia Arteriviridae, che è attualmente incluso nel nuovo genere Betaarterivirus (antico genere Arterivirus). La sua marcata diversità genetica ha fatto sì che i due genotipi PRRSV (europeo e nordamericano) siano attualmente considerati come due diverse specie virali: Betaarterivirus suid 1, corrispondente al genotipo 1 o europeo (PRRSV-1), il cui prototipo è il virus Lelystad (LV); e il Betaarterivirus suid 2, che corrisponde al genotipo 2 o nord-americano (PRRSV-2), il cui prototipo è il ceppo VR-2332.
Il PRRSV è in grado di modulare e persino eludere la risposta immunitaria dell'ospite. Questo virus infetta i macrofagi alveolari, la sua principale cellula bersaglio, alterandone le funzioni e inducendo la sua morte per necrosi e / o apoptosi, che ritarda la comparsa di un'efficace risposta immunitaria adattativa e predispone l'animale alle infezioni secondarie.
La forma respiratoria si verifica principalmente nei suini in fase di crescita e in ingrasso e le lesioni sono caratterizzate dalla comparsa di polmonite interstiziale. Macroscopicamente, i polmoni non collassano quando vengono rimossi dalla cavità toracica, presentando una consistenza gommosa e un aspetto multifocale con aree rossastre distribuite in tutto il parenchima polmonare (Figura 1). A livello microscopico, c'è un ispessimento dei setti alveolari associato a un infiltrato di linfociti e macrofagi, nonché iperplasia e ipertrofia dei pneumociti di tipo II (Figura 2).


Il PCV2 è un virus DNA a catena semplice, senza envelope e di piccola dimensione che appartiene al genere Circovirus, all'interno della famiglia Circoviridae. È l'agente causale di una serie di malattie note come malattie associate al circovirus, inclusa la malattia sistemica da PCV2 (PCVAD, dall'inglese, Porcine Circovirus Associated Disease), conosciuta classicamente come la sindrome del deperimento multi-sistemico post-svezzamento (PMWS, dall'inglese, Postweaning Multisystemic Wasting Syndrome), la malattia polmonare da PCV2, la malattia digestiva da PCV2, le perdite riproduttive da PCV2 e la sindrome dermatite-nefrite suina (PDNS, dall'inglese, Porcine Dermatitis and Nephopathy Syndrome).
Il PCV2 si moltiplica in varie cellule del sistema immunitario come macrofagi, cellule dendritiche o linfociti, causando la deplezione linfoide e riducendo la capacità dell'ospite di rispondere ai patogeni primari e / o secondari.
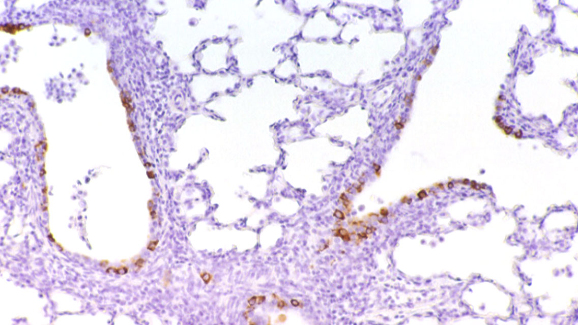
Le lesioni polmonari causate da PCV2 sono macro e microscopiche simili a quelle causate da PRRSV, poiché come questo, provoca polmonite interstiziale, quindi dobbiamo ricorrere ad altre tecniche diagnostiche come l'immunoistochimica (Figura 3), l'ibridazione in situ o la PCR al fine di stabilire la diagnosi. Inoltre, sono due agenti che sono solitamente isolati insieme poiché l'infezione da PRRSV è associata ad un aumento della replicazione e della virulenza del PCV2.

Il SIV è un virus polimorfico e con envelope che appartiene alla famiglia degli Orthomyxoviridae, che comprende sette generi diversi: Influenzavirus A, B, C e D, Isavirus, Quaranjavirus e Thogotovirus. Sebbene il genere Influenzavirus A, B, C e D sia stato identificato nei suini, la maggior parte dei ceppi che causano influenza o influenza suina sono inclusi nel genere Influenzavirus A e C.
La SIV si replica nelle cellule epiteliali del sistema respiratorio (superiore e inferiore), alterando il funzionamento del sistema mucociliare, favorendo la comparsa di infezioni batteriche secondarie. La principale lesione che provoca al polmone è la polmonite broncointerstiziale, macroscopicamente caratterizzata dalla presenza di diffuse lesioni cranio-ventrali o multifocali rosso scuro o marrone, di estensione variabile, molto simili a quelle causate da Mycoplasma hyopneumoniae (figura 4). A livello microscopico, provoca bronchiolite necrotizzante (Figura 5) che è accompagnata dalla presenza di infiltrati linfoistiocitici peribronchiali e nei setti alveolari e da un essudato muco-purulento nei bronchioli.


Il Coronavirus Respiratorio (PRCV) è una delezione mutante del virus della gastroenterite trasmissibile con un tropismo speciale per il tratto respiratorio, che infetta le cellule epiteliali della cavità nasale, della trachea, dei bronchi e dei bronchioli (Figura 6) e dei pneumociti di tipo I e II. Le lesioni polmonari sono caratterizzate macroscopicamente dalla presenza di aree di consolidamento da rosso a marrone con bordi irregolari situati principalmente nei lobi medi e nell'accessorio (Figura 7). Microscopicamente, il modello lesionale è simile alla polmonite bronchiale interstiziale multifocale caratterizzata dalla comparsa di necrosi delle cellule dell'epitelio bronchiale e bronchiolare, metaplasia squamosa, infiltrazione linfoistiocitico peri-bronchiolare, perivascolare e nei setti alveolari, che è accompagnato dalla proliferazione di pneumociti di tipo II e dalla presenza di cellule epiteliali necrotiche e leucociti nel lume delle vie aeree e degli alveoli.


Il Complesso Respiratorio Suino ha un carattere multietiologico, in cui PRRSV, PCV2 e SIV svolgono un ruolo fondamentale, poiché causeranno un ritardo nell'instaurazione della risposta immunitaria (PRRSV, PCV2) o un fallimento nella funzionalità dell'apparato mucociliare (SIV).