L'apparato respiratorio ha come funzione principale la cattura di ossigeno dall'aria e l'eliminazione della CO2 originata dal catabolismo dei tessuti. Nel suino, inoltre, ha un'importante funzione nel processo di termoregolazione, poiché le ghiandole sudoripare non si sono sviluppate, il calore in eccesso viene eliminato mediante un sistema di evaporazione chiamato polipnea termica.
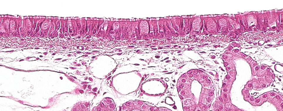
La prima parte dell'apparato respiratorio, la parte conduttiva o le vie aeree, va dalla cavità nasale alle ultime ramificazioni dei bronchioli e comprende anche i seni nasali e paranasali che sono collegati alla cavità nasale, al rinofaringe ed alla laringe. Tutte queste strutture tubolari sono rivestite da un epitelio pseudostratificato ciliato con cellule caliciformi (figura 1), responsabile di uno dei principali sistemi di difesa della mucosa respiratoria, l'apparato mucociliare. Questo sistema è costituito dalle ciglia delle cellule dell'epitelio respiratorio, insieme alle secrezioni delle cellule caliciformi e delle ghiandole sieromucose che compaiono sotto la mucosa respiratoria e la loro funzione principale è quella di eliminare le particelle che entrano attraverso l'aria inspirata. Le ghiandole secernono un liquido limpido, a bassa viscosità e ricco di proteine che è disposto tra le ciglia, formando un mezzo che favorisce il loro movimento verso l'alto. Il muco secreto dalle cellule caliciformi si deposita sulle ciglia e consente alle particelle inalate di aderire. Il movimento verso l'alto delle ciglia spinge il muco verso la parte superiore dell'apparato respiratorio, che può essere deglutito e passare al sistema digestivo, dove viene digerito o espulso all'esterno attraverso la bocca e / o la cavità nasale. Agenti come il Mycoplasma hyopneumoniae, che causa la perdita delle ciglia, o virus come l'influenza suina o il coronavirus respiratorio, che causano la distruzione delle cellule epiteliali, svolgono la loro azione patogena, distruggendo questo sistema difensivo.
Associata alla mucosa respiratoria esistono le aree di tessuto linfoide (BALT, dall'inglese Broncus Associated Lymphoid Tissues) dove l'interazione avviene tra i linfociti e gli antigeni patogeni provenienti dall'esterno, originando una risposta difensiva specifica ed evitando così una risposta immunitaria sistemica. È caratterizzato da una preponderanza della risposta immunitaria umorale attraverso le IgA, che vengono secrete in modo selettivo sulla superficie della mucosa attraverso il trasporto attivo.

A partire dai bronchioli respiratori si trova la porzione respiratoria, composta dagli alveoli, che sono delimitati da una parete sottile, attraverso la quale scorre una fitta rete di capillari attraverso la quale avviene lo scambio di gas tra aria e sangue.
L'epitelio che riveste gli alveoli è costituito da due tipi di cellule, chiamate pneumociti tipo I e II (figura 2). I pneumociti di tipo I sono cellule piatte che rivestono la maggior parte della superficie alveolare ed i gas possono passare facilmente attraverso il loro citoplasma. I pneumociti di tipo II si presentano singolarmente o in piccoli gruppi tra i pneumociti di tipo I, in particolare agli angoli, dove si uniscono ai setti alveolari. Sono cellule la cui morfologia varia da arrotondata a cubica, con pochi microvilli verso la loro superficie libera e che contengono nel loro citoplasma alcuni organoidi chiamati corpi multilamellari o citosomi. I citosomi espellono una sostanza tensioattiva verso la superficie alveolare che si mescola alle molecole d'acqua, riducendo la loro coesione, riducendo così la tensione superficiale del liquido alveolare, impedendo al polmone di collassare e favorendo la forza di inspirazione per riempire gli alveoli di aria, facendo sì che sia minore. Queste cellule hanno la capacità di dividersi e differenziarsi in pneumociti di tipo I, essendo la principale fonte di rinnovamento cellulare. Il centro della parete alveolare è occupato dall'interstizio, di natura connettiva, e che supporta un'ampia rete di capillari anastomizzati.

I macrofagi polmonari rappresentano un altro importante meccanismo di difesa polmonare. Oltre ai macrofagi alveolari, situati nel lume alveolare, possiamo anche trovare i macrofagi intravascolari polmonari, situati all'interno dei capillari, ed i macrofagi interstiziali, situati nell'interstizio dei setti (Figura 2). I primi difendono la luce alveolare fagocitando i microrganismi e le particelle inalate, mentre i secondi si occupano dell'eliminazione di particelle o agenti patogeni che raggiungono il polmone attraverso il flusso sanguigno. La popolazione di macrofagi polmonari è la principale fonte di produzione di mediatori infiammatori, come citochine e chemochine, che possono anche essere secreti da altri tipi di cellule. Queste molecole hanno la funzione principale di attrarre cellule infiammatorie come i neutrofili e linfociti nel luogo in cui si è verificata la lesione, fungendo così da "sistema di comunicazione" tra le cellule coinvolte nel processo infiammatorio. Virus come la Sindrome riproduttiva e respiratoria suina (PRRSV) le cui principali cellule bersaglio sono i macrofagi alveolari (Figura 3), alterano le loro funzioni di base (fagocitosi, presentazione di antigeni e produzione di citochine) e inducono la loro morte a causa di necrosi e / o apoptosi. , il che modula la risposta immunitaria, causando un ritardo nella comparsa di una risposta adattativa efficace, favorendo così la comparsa di infezioni secondarie.

Non dobbiamo mai dimenticare che l'alveolo, il luogo in cui avviene lo scambio respiratorio, è in contatto con l'esterno, quindi l'integrità dell'apparato mucociliare e la funzionalità dei macrofagi sono essenziali per mantenere l'omeostasi della funzione respiratoria.